Trigonitis: más que una infección
El trígono vesical es el espacio triangular en el interior de la vejiga urinaria comprendido entre la abertura de los uréteres (meatos) y el orificio de la uretra.
Normalmente el trígono vesical está cubierto por epitelio urotelial, el epitelio normal de la vejiga. En algunos casos es cubierto por una membrana blanquecina, la cual representa cambios en el epitelio original, una metaplasia escamosa, que si bien no es un cáncer, amerita un mayor estudio.
Se ha visto en mujeres jóvenes que el trígono puede sufrir un cambio superficial, cubriéndose de un tejido muy similar al vaginal, este cambio es llamado médicamente como metaplasia escamosa no queratinizante.
Normalmente el trígono vesical está cubierto por epitelio urotelial, el epitelio normal de la vejiga. En algunos casos es cubierto por una membrana blanquecina, la cual representa cambios en el epitelio original, una metaplasia escamosa, que si bien no es un cáncer, amerita un mayor estudio.
Se ha visto en mujeres jóvenes que el trígono puede sufrir un cambio superficial, cubriéndose de un tejido muy similar al vaginal, este cambio es llamado médicamente como metaplasia escamosa no queratinizante.
Trigonitis
Existe mucha confusión al respecto y esto nos ha motivado a escribir algunas líneas.
Epidemiología
La trigonitis afecta a ambos sexos, si bien es mas frecuente en mujeres, llegando hasta un 40%; puede presentarse en varones llegando hasta un 5%. Es de presentación rara en niños.
Diagnóstico
El examen físico generalmente no la detecta no la detecta. Dependiendo de la sintomatología (generalmente mujeres con infección urinaria crónica o recidivante); se decide realizar la cistoscopia.
Los cambios tesiduales observados durante la cistoscopia pueden hacernos sospechar de esta enfermedad, debido a las características cistoscópicas de la vejiga. El diagnóstico se confirma luego de una biopsia vesical.
Cistoscopia
Los urólogos cuando practicamos cistoscopias en las mujeres, por lo general, con síntomas irritativos del tracto urinario inferior, observamos con bastante frecuencia una coloración blanquecina ó grisácea clara cubriendo la superficie de la mucosa vesical, especialmente a nivel del piso vesical en su región pre y trigonal.
Estas placas o parches pueden ser:
Epidemiología
La trigonitis afecta a ambos sexos, si bien es mas frecuente en mujeres, llegando hasta un 40%; puede presentarse en varones llegando hasta un 5%. Es de presentación rara en niños.
Diagnóstico
El examen físico generalmente no la detecta no la detecta. Dependiendo de la sintomatología (generalmente mujeres con infección urinaria crónica o recidivante); se decide realizar la cistoscopia.
Los cambios tesiduales observados durante la cistoscopia pueden hacernos sospechar de esta enfermedad, debido a las características cistoscópicas de la vejiga. El diagnóstico se confirma luego de una biopsia vesical.
Cistoscopia
Los urólogos cuando practicamos cistoscopias en las mujeres, por lo general, con síntomas irritativos del tracto urinario inferior, observamos con bastante frecuencia una coloración blanquecina ó grisácea clara cubriendo la superficie de la mucosa vesical, especialmente a nivel del piso vesical en su región pre y trigonal.
Estas placas o parches pueden ser:
- Aisladas u ocupar áreas extensas
- Redondeadas
- Formar diferentes figuras geométricas
- Tener diferente grosor
- Pueden acompañarse de hiperemia, edema, ulceración u otras patologías anexas
Las placas muchas veces son denominadas como leucoplaquia o trigonitis.
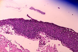
Anatomopatología
En el examen anatomopatológico encontramos cuatro tipos de tejidos:
Anatomopatología
En el examen anatomopatológico encontramos cuatro tipos de tejidos:
- Urotelio
- Epitelio escamoso trigonal
- Metaplasia escamosa estratificada de la vejiga.
- Leucoplasia vesical, siendo esta última considerada una lesión de cuidado por ser pre-maligna
Se aprecian, al microscopio, los cambios en el tejido que cubre el trígono de la vejiga.
¿Cuando realizar una biopsia ?
La única forma de saber el tipo de patología que se enfrenta en los caos de trigonitis es realizando una biopsia vesical. NO todos los pacientes deben realizarse dicho procedimiento, pero sugerimos a los siguientes:
¿Por qué se produce la metaplasia ?
Existen muchas teorías que intentan explicar el por qué se producen los cambios el epitelio trigonal, algunas de ellas citadas a continuación:
La única forma de saber el tipo de patología que se enfrenta en los caos de trigonitis es realizando una biopsia vesical. NO todos los pacientes deben realizarse dicho procedimiento, pero sugerimos a los siguientes:
- Edad de la paciente mayor de 18 años
- Síntomas continuos o intermitentes superiores a 12 meses,
- Ausencia de respuesta a los antibióticos
- Hematuria (sangrado en la orina) micro o macroscópica
- Sangrado de la mucosa a la palpación bimanual de la vejiga
- Nocturia
¿Por qué se produce la metaplasia ?
Existen muchas teorías que intentan explicar el por qué se producen los cambios el epitelio trigonal, algunas de ellas citadas a continuación:
- Una respuesta reactiva adquirida por el epitelio transicional (urotelio )
- Incorporación embriológica focal de elementos ectodérmicos extraviados en su descenso caudal embriológico
- Una transformación espontánea del epitelio.
Tratamiento
Está orientado a erradicar la causa de fondo. Para este fin se pueden utilizar
- Antibióticos
- Analgésicos
- Antiespasmódicos
- Antinflamatorios
- Acidificantes urinarios (Cranberry)
- Instilaciones tópico-vesicales con nitrato de plata (AgNO3) al 0.5%
- Cuando existe duda debe realizarse una biopsia vesical.
- Electrofulguración del trígono
Lea nuestro artículo al respecto de la cirugía de trigonitis en el siguiente enlace
